成長を活かして、永久歯がスムーズに生え変わるためのスペースを確保したり、正しい骨格の成長へと導きます。
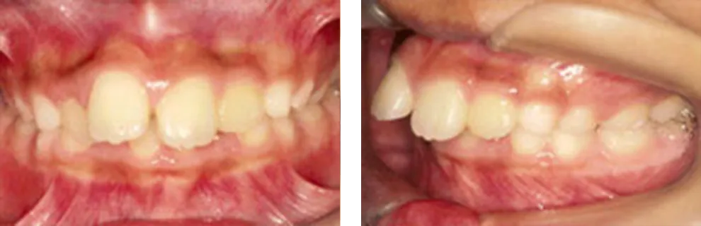
子どもの治療例1
※結果については個人差があります。
症例情報
| 主訴 | 上の前歯が生えてこない、 下の前歯の凸凹 |
| 診断名 | 上下顎叢生を伴う上顎前突 |
| 年齢 | 7歳 |
| 使用装置 | 拡大床・ 部分的にマルチブラケット装置 |
| 抜歯部位 | 非抜歯(第一段階) |
| 治療期間・通院回数 | 2年2ヶ月・26回 |
| 費用 |
総額 ¥376,000(税込) 費用内訳:税込
|
| リスク・副作用 | 矯正歯科治療に伴う一般的なリスクや副作用について
|
子どもの治療例2
※結果については個人差があります。
症例情報
| 主訴 | 受け口・下の歯のでこぼこ |
| 診断名 | 反対咬合・下顎叢生 |
| 年齢 | 8歳 |
| 使用装置 | 可撤式床装置、 マルチブラケット装置、 顎外固定装置 |
| 抜歯部位 | 非抜歯(第一段階) |
| 治療期間・通院回数 | 2年3ヶ月・27回 |
| 費用 |
総額 ¥349,500(税込) 費用内訳:税込
|
| リスク・副作用 | 矯正歯科治療に伴う一般的なリスクや副作用について
|
子どもの治療例3
※結果については個人差があります。
症例情報
| 主訴 | 前歯の凸凹 |
| 診断名 | 上下顎叢生 |
| 年齢 | 8歳 |
| 使用装置 | 拡大床・ 部分的にマルチブラケット装置 |
| 抜歯部位 | 非抜歯(第一段階) |
| 治療期間・通院回数 | 2年・24回 |
| 費用 |
総額 ¥357,500(税込) 費用内訳:税込
|
| リスク・副作用 | 矯正歯科治療に伴う一般的なリスクや副作用について
|
子どもの治療例4
※結果については個人差があります。
症例情報
| 主訴 | 出っ歯 |
| 診断名 | 上顎前突・叢生 |
| 年齢 | 9歳 |
| 使用装置 | 側方拡大装置、 マルチブラケット装置、 機能的矯正装置 |
| 抜歯部位 | 非抜歯(第一段階) |
| 治療期間・通院回数 | 2年・24回 |
| 費用 |
総額 ¥389,400(税込) 費用内訳:税込
|
| リスク・副作用 | 矯正歯科治療に伴う一般的なリスクや副作用について
|
子どもの治療例5
※結果については個人差があります。
症例情報
| 主訴 | 受け口 |
| 診断名 | 反対咬合 |
| 年齢 | 8歳 |
| 使用装置 | 咬合挙上装置、 マルチブラケット装置 |
| 抜歯部位 | 非抜歯(第一段階) |
| 治療期間・通院回数 | 2年・24回 |
| 費用 |
総額 ¥374,000(税込) 費用内訳:税込
|
| リスク・副作用 | 矯正歯科治療に伴う一般的なリスクや副作用について
|




